Skip to main content

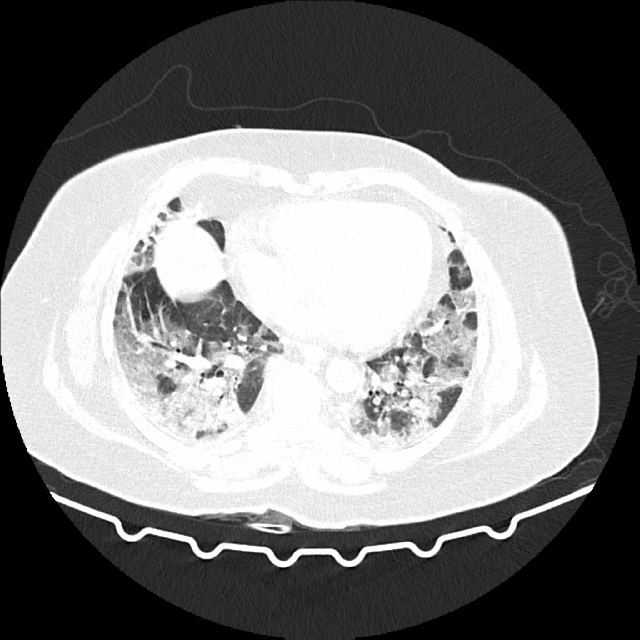
HRCT THORAX


There  are extensive bilateral patchy ground glass opacities with mild consolidations seen in all the Jones of both the lungs 














 

Comments

Popular posts from this blog

MRI HIP JOINT

 

मिर्गी

मिर्गी  एक जब्ती मस्तिष्क में अचानक, अनियंत्रित विद्युत गड़बड़ी है। यह आपके व्यवहार, आंदोलनों या भावनाओं और चेतना के स्तरों में परिवर्तन का कारण बन सकता है। यदि आपके पास दो या अधिक बरामदगी या आवर्ती बरामदगी की प्रवृत्ति है, तो आपको मिर्गी है। कई प्रकार के दौरे होते हैं, जो गंभीरता में होते हैं। मस्तिष्क में कहां और कैसे शुरू होता है, इससे जब्ती के प्रकार भिन्न होते हैं। अधिकांश बरामदगी 30 सेकंड से दो मिनट तक होती है। एक जब्ती जो पांच मिनट से अधिक समय तक रहता है वह एक चिकित्सा आपातकाल है। जितना आप सोच सकते हैं उससे अधिक आम हैं। दौरे एक स्ट्रोक, एक बंद सिर की चोट, एक संक्रमण जैसे मेनिन्जाइटिस या किसी अन्य बीमारी के बाद हो सकते हैं। कई बार, हालांकि, एक जब्ती का कारण अज्ञात है। अधिकांश जब्ती विकारों को दवा से नियंत्रित किया जा सकता है, लेकिन बरामदगी का प्रबंधन अभी भी आपके दैनिक जीवन पर महत्वपूर्ण प्रभाव डाल सकता है। अच्छी खबर यह है कि आप अपने स्वास्थ्य देखभाल पेशेवर के साथ जब्ती नियंत्रण और दवा के दुष्प्रभावों को संतुलित करने के लिए काम कर सकते हैं। लक्षण एक जब्ती के साथ, लक्षण और लक्ष...